Cosmetic Dentists in Jersey

At The Dental Spa, we specialise in cosmetic dentistry treatments that transform smiles and boost confidence. Our expert team is here to guide you through various cosmetic dental procedures, from subtle enhancements to complete smile makeovers. Our advanced techniques and personalised approach mean you can expect results that improve your smile and support your overall dental care and oral health. Whether you need alignment, whitening, or a smile transformation, we are dedicated to providing solutions that minimise discomfort and deliver lasting results.

 
REQUEST A CONSULTATION
 
cosmetic dentistry treatment jersey

Orthodontic Treatment with Orthopaedic Expanders and Fixed Braces

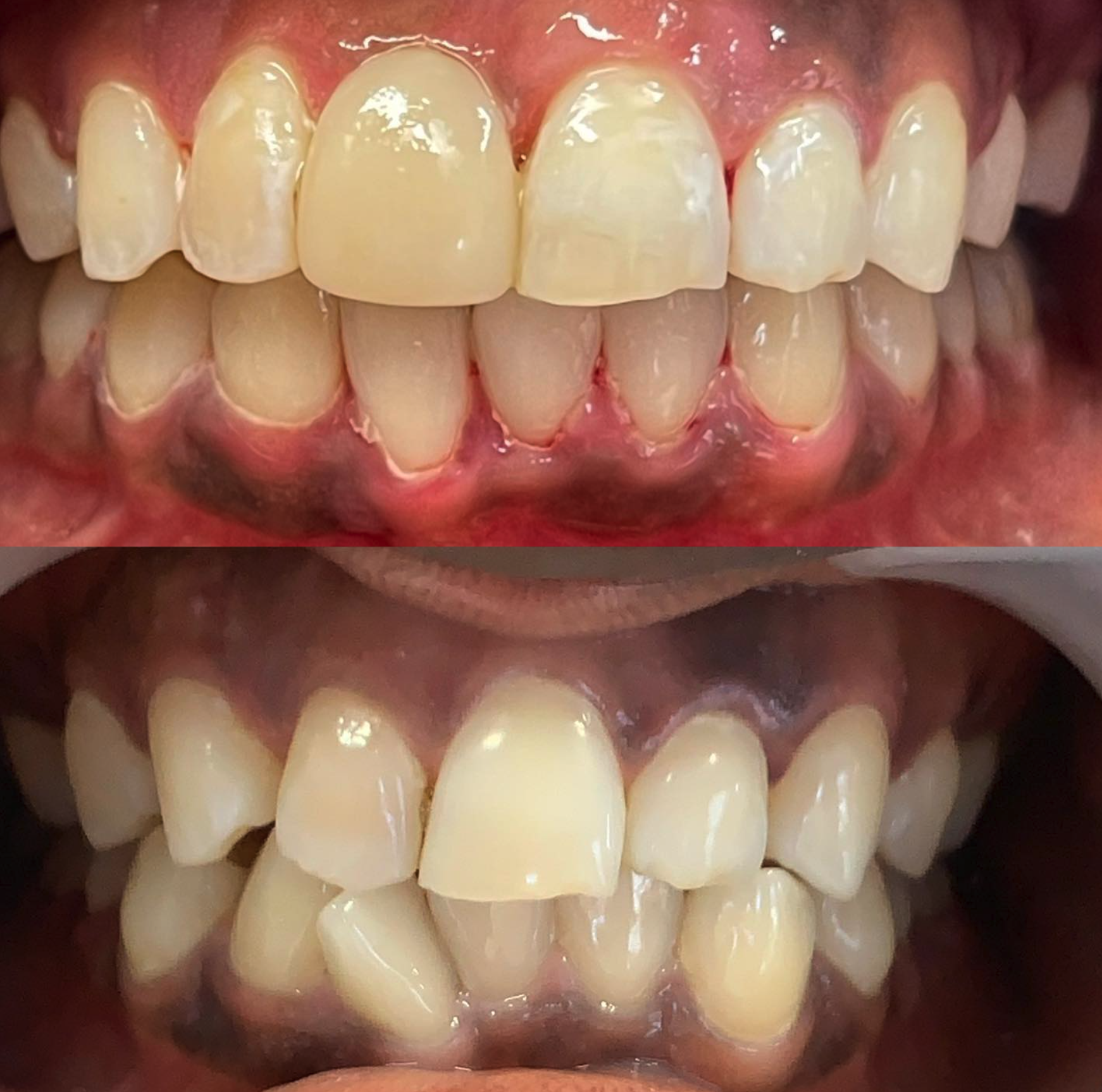
Orthodontic Braces

The Dental Spa offers a range of dental treatments suitable for all ages, with treatment plans to fit different lifestyles and budgets. After an initial consultation, a tailored program is created to meet your smile goals. Options include discreet, clear aligners like Invisalign, a comfortable and convenient alternative to traditional braces for teeth straightening. Fixed braces, now more discreet with clear or ceramic brackets, are also available to straighten crooked teeth. Orthopaedic-removable braces can stimulate jaw growth and prevent future dental issues for younger patients. 

 
cosmetic dentistry treatment jersey

Dental Bonding

Composite Bonding

Dental bonding offers a quick and effective way to improve your smile. In just one visit, tooth-coloured material is used to change the shape of teeth, close gaps, fix chips and cracks, and hide stains. This treatment is ideal for those looking for an efficient way to enhance and improve the appearance of their smile.


 
 

Teeth Whitening

A beautiful, bright smile is proven to enhance well-being and confidence. At The Dental Spa, we offer two effective teeth whitening systems. The Zoom Advanced Professional Teeth Whitening is an in-practice treatment with significant results in one session, complemented by a tailored at-home kit. The Home Teeth Whitening Kits include custom-made trays and gel for convenient use, with professional support and monitoring. Both systems aim for a brighter smile, enhancing confidence and well-being.

 
cosmetic dentistry treatment jersey

Dental Veneers

Smile makeover

Dental veneers are very thin and are made of porcelain. The veneers bond to the front of your teeth altering the shape and colour for a stunning makeover. Ideal for discoloured or uneven teeth, perfect for realigning mild crowding for space closing, our veneers are designed to your specifications ensuring outstanding results.

Whenever you desire subtle enhancement or a dramatic change, we can deliver the dream smile.

 
cosmetic dentistry treatment jersey

Cosmetic Crowns

Dental Crowns in Jersey

At our dental clinic in Jersey we offer high-quality Zirconia and porcelain crowns designed to restore, strengthen and enhance your smile. Our ceramic crowns are a popular choice for patients seeking a natural look, thanks to their ability to match your original tooth structure.

These crowns provide a seamless and long-lasting solution for broken, cracked or worn-down teeth. Whenever you’re undergoing a smile makeover, restoring teeth after root canal treatment, or simply looking to improve your dental aesthetics, our crowns deliver both cosmetic and functional benefits.

Book your consultation today and discover why so many patients in Jersey trust us for durable and natural looking crowns.

 

Same-Day Dental Crowns with SprintRay Technology in Jersey, Channel Islands

At The Dental Spa Jersey we are proud to offer same-day dental crowns using the latest in 3D printing innovation—SprintRay digital technology. This cutting-edge system allows us to design, print, and fit custom crowns in a single visit, eliminating the need for messy impressions or multiple appointments. With SprintRay, patients benefit from faster treatment times, exceptional precision, and a perfect fit, all while maintaining the natural look and strength expected from traditional crowns. Whether you’re dealing with a cracked tooth, cosmetic concern, or post-root canal restoration, our same-day crowns provide a convenient, high-tech solution without compromising on quality.

 




Book Online
Call 01534759599
 

Other Treatments

Dental Implants

Implants are a durable replacement for lost or missing teeth.

Regular Dental Checkups

Routine checkups help maintain oral health at our Jersey Dental Spa.

Preventative Dentistry

Focuses on early detection and prevention to keep teeth healthy.

Emergency Dentistry

Early detection and prevention to keep teeth healthy.

 

Location